Da 40 anni gli esperti di ecografia e radiologia a Napoli
La digitalizzazione della radiologia tradizionale ha reso questa metodica più veloce, meno invasiva da un punto di vista protezionistico (minore somministrazione di radiazioni) e più precisa nella definizione di molte patologie.
La radiologia digitale risulta molto utile nello studio di primo livello del torace, per patologie infiammatorie, oncologiche o traumatiche.
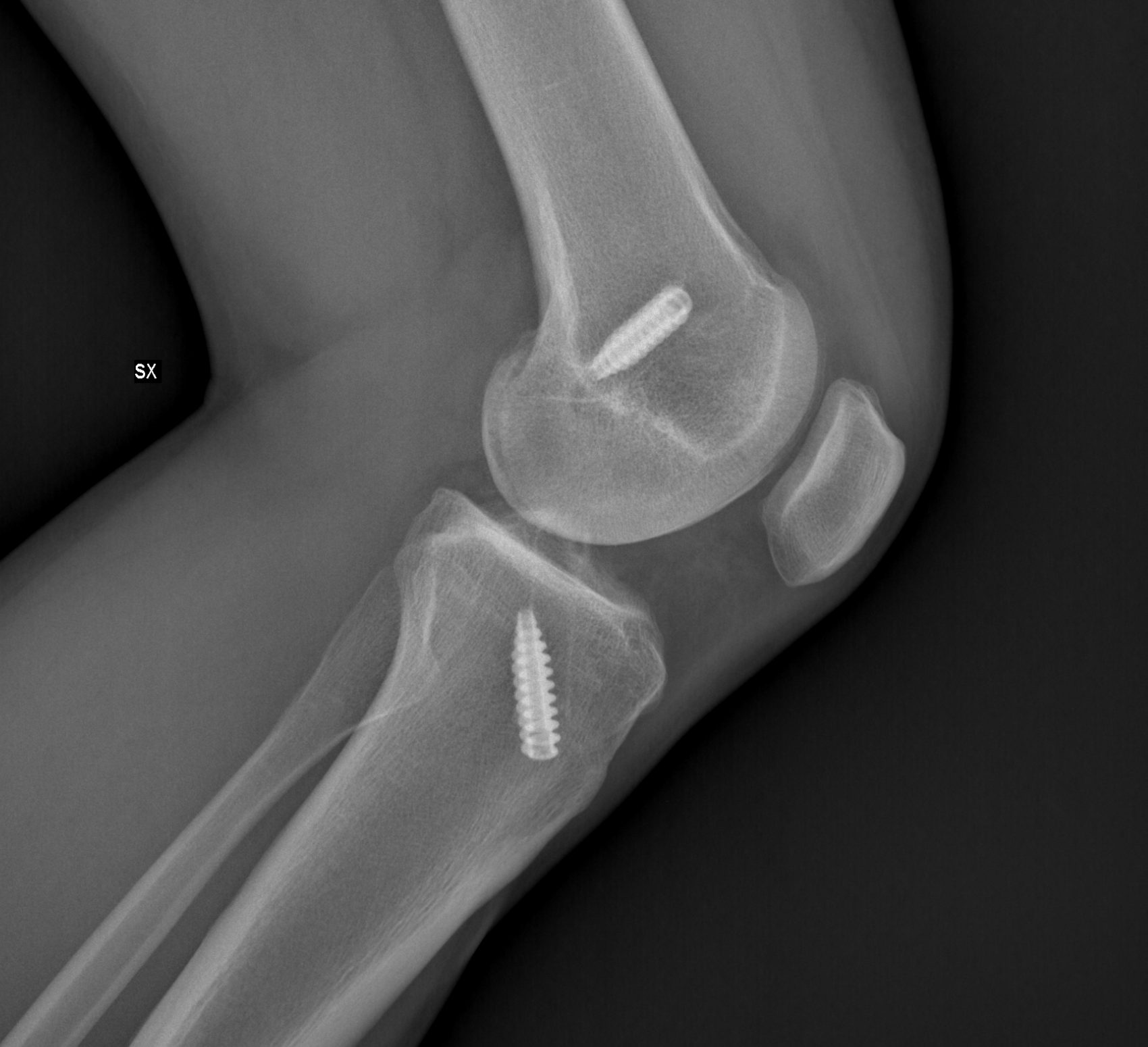
Inoltre la radiologia digitale rappresenta l’indagine di primo livello nello studio di tutte le patologie dell’osso e delle articolazioni.
Risulta molto utile nella identificazione e nel monitoraggio delle fratture ossee, specie se presenti mezzi di sintesi metallici.
L’esame radiografico risulta indispensabile per verificare il corretto posizionamento delle protesi articolari (di spalla, di anca, di ginocchio, di gomito) e per monitorare nel tempo la loro condizione.
Presso lo STUDIO DI PIETTO è possibile eseguire esami radiologici ortopedici specialistici per la valutazione delle patologie articolari e della colonna vertebrale.
Chiamate per conoscere le prestazioni di ecografia e radiologia dello Studio Di Pietto









